معرض الابتسامات — Case Gallery
النتائج تتكلم
عن نفسها
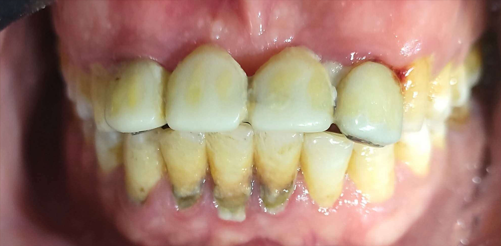
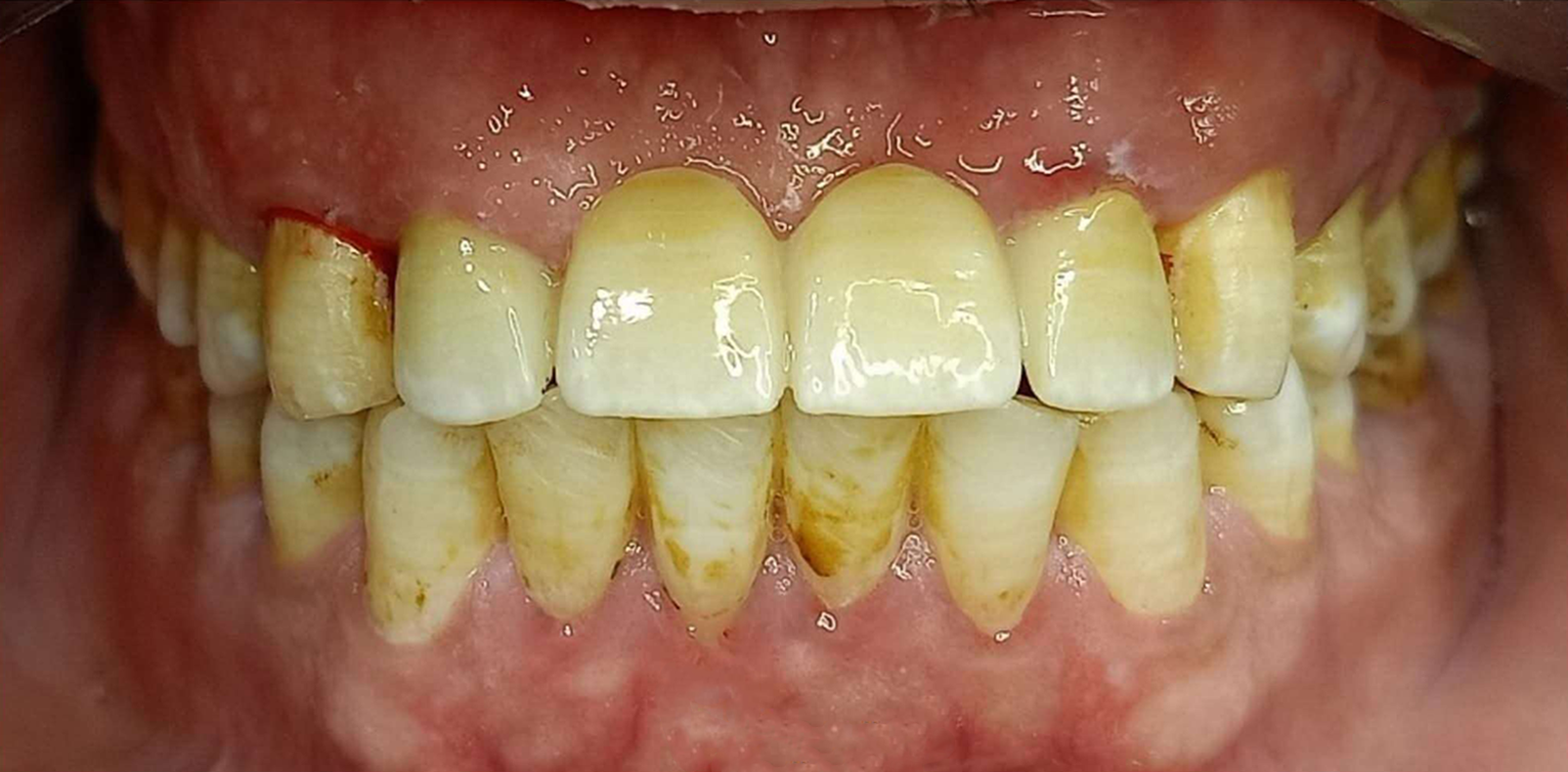
حالات حقيقية، مرضى حقيقيون. مرّر على أي صورة لترى من أين بدأنا — واضغط للتفاصيل الكاملة.
الكل: ٩ حالة
تجميل: ٥
زراعة: ٢
تقويم: ١
أطفال: ١
حالات مميزة — اسحب الشريط الذهبي للمقارنة
جميع الحالات — ٤ حالة
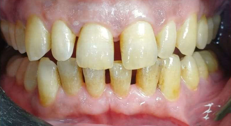
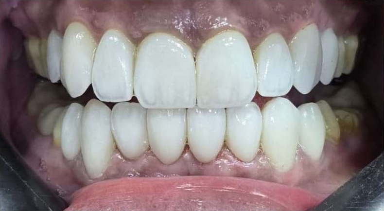
🦷 تجميل
ابتسامة هوليود
🦷
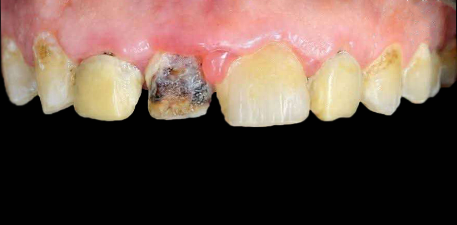
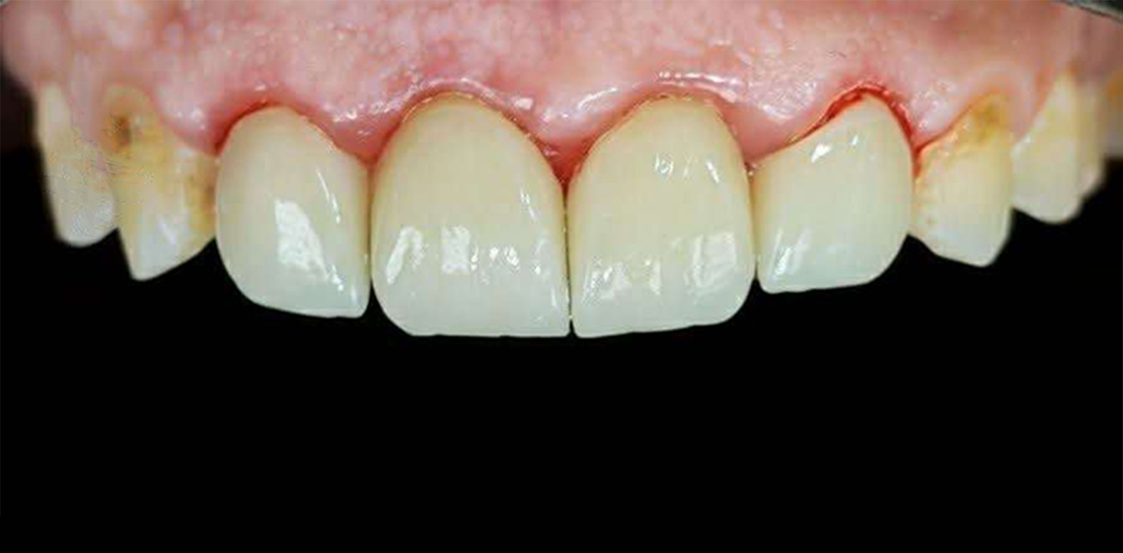
🦷 تجميل
تيجان خزفية أمامية
🦷
🦷 تجميل
فينير + تبييض
🦷
🔩 زراعة
زراعة متعددة — ٤ أسنان
🔩
+٦٥٠
حالة منجزة
عبر جميع التخصصات
٦
تخصصات طبية
تحت سقف واحد
+٢٠
عاماً من الخبرة
منذ تأسيس المركز
٤
أطباء متخصصون
فريق متكامل
ابدأ رحلتك
شوفت النتائج —
جاهز تبدأ؟
نتيجتك الجاية ممكن تكون في هذه الصفحة. احجز استشارتك الآن.







